.

OSTEOARTRITIS KUKOVA

.

.

.

Slika 1

.

.

.

Svi smo ponekad osjetili bol u području kuka, no što sve može uzrokovati taj neugodan osjećaj ?

.

.

.

  Osteoarthritis i reumatoidni artritis najčešći su uzroci boli u kuku, osobito u starijoj životnoj dobi. Artritis uzrokuje upalu zgloba kuka i razaranje hrskavice koja ublažava trenje i udarce koštanih struktura u zglobu

.

.

  Prijelom kuka ( slika 2 ) – sa starijom životnom dobi kosti slabe i postaju krhkije. Slabije kosti su sklonije prijelomu uslijed traume ( udarac, pad..itd )

Slika 2

.

.

.

.

.

.

  Bursitis ( slika 3 ) bursae su sluzne vreće pune tekućine koje se nalaze između kostiju, mišića i tetiva. One služe ublažavanju frikcije ( trenja ) između tih tkiva. Kada se bursae upale one mogu biti izvorom boli . Upala bursae je obično posljedica ponavljajućih aktivnosti koje uzrokuju sindrom prenaprezanja i iritiraju

.

.

.

.

.

.

.

.

.

.

Slika 3

.

.

.

Tendinitis ( slika 4 ) označava upalu ili iritaciju tetiva. Tetive su vezivne strukture koje vežu mišiće za kost. Upala je obično uzrokovana stresom zbog ponavljajućih pokreta koji se dešavaju kod prekomjerne aktivnosti. Na slici br. 4 je prikazan

kalcificirajući tendinitis ( okoštavajući tendinitis ) mišića m. gluteus medius koji se veže na zglob kuka

Slika 4

.

.

.

  Ozljeda mišića ili tetiva ( slika 5 ) ponavljajući pokreti predstavljaju stres mišićima, tetivama i ligamentima koji podupiru kukove. Kada se te strukture upale zbog prekomjerne upotrebe to može stvoriti bol u regiji kuka. U ovu kategoriju također spadaju i traumatske ozljede mišića i tetiva

.

.

.

.

.

.

.

.

.

Slika 5

.

.

.

Ozljede vezivnog prstena u zglobu kuka ( slika 6 ) labralni prsten kuka uključuje prsten hrskavice ( labrum ) na vanjskom rubu zgloba kuka. Osim ublažavanja udaraca u zglobu kuka, labrum djeluje poput gumene brtve kako bi pomogao da vrh bedrene kosti koji je kuglasto oblikovan sigurno stoji u udubljenom dijelu zdjelice ( acetabulumu ). Atletičari i osobe koje rade ponavljajuće rotirajuće pokrete imaju veći rizik za ozljedu vezivnog prstena

Slika 6

.

.

.

  Tumori ponekad je bol u regiji kukova uzrokovana i tumorom kostiju

.

.

Avaskularna nekroza ( osteonekroza ) stanje koje se dešava kada cirkulacija do kostiju usporava i koštano tkivo odumire. Iako se može pojaviti na drugim kostima, ovo stanje se ipak najčešće javlja na zglobu kuka, a može biti uzrokovano frakturom kuka ili dislokacijom ( iščašenjem ) ili uslijed dugotrajne upotrebe visoke doze stereoida ( slika 7 ).

.

.

.

.

.

.

.

.

.

.

.

.

.

.

.

.

.

.

.

.

.

.

.

.

.

.

.

.

.

.

.

.

.

.

.

.

.

.

.

.

.

.

.

.

.

.

.

.

.

Što je osteoartritis kuka ( OA ) ?

Slika 7

Kao što možemo vidjeti iz gore navedenog teksta uzrok boli u području kuka je na prvom mjestu upravo osteoartritis. Osteartritis ( artroza ) kuka ( slika 8 ) spada u kategoriju degenerativnih bolesti zgloba kod koje dolazi do trošenja hrskavica na zglobnim površinama što u konačnosti dovodi do trenja kost o kost pri pokretima zgloba i posljedično prisutne boli

.

.

Slika 8

.

.

.

.

Simptomi

.

.

.

dominantan simptom je bol u preponskoj regiji pri hodu ali distribucija boli može biti i u regiji stražnjice, bedru pa sve do unutarnje regije koljena ( oboljenja kuka sa pripadajućom boli u koljenu su čest izvor pogrešnih postavljenih dijagnoza ). Bol je povezana sa aktivnostima koje uključuju prijenos težin, a u mirovanju dolazi do smirivanja boli. Kod težih oblika OA kuka bol može biti prisutna i u mirovanju

.

.

  popratni simptomi su smanjen opseg pokreta i ukočenost u području kuka

.

.

jutarnja ukočenost

.

.

  bolan pokret unutarnje rotacije ( kod teških oblika OA kuka već < 15 ° ) ; ograničena fleksija kuka ispod 115 ° ; također postoji nepotpuna ekstenzija koja često ostane neprimjetna

.

.

zahvaćeni kuk je u fleksiji, vanjskoj rotaciji i adukciji.. Još jedan znak OA kuka koji se javlja u kasnijim fazama je skraćenje ekstremiteta kako glava femura migrira prema gore i u

acetabulum zajedno sa fleksornom kontrakturom kuka

.

.

  otežano ustajanje iz sjedećeg položaja

.

.

  antalgičan hod ( slika 9 ) – pacijenti sa OA kuka imaju izmijenjeni obrazac hoda s poštedom artritičnog kuka uključujući i smanjenu brzinu hoda. Pacijenti navode poteškoće i bol pri hodu ili penjanju po stepenicama , smanjenju sposobnost hodanja, trčanja kao i smanjenu samostalnost u aktivnostima svakodnevnog života. Također se uočava smanjena snaga mišića i propriocepcija zgloba sa uvećanom mogućnošću pada

.

.

.

.

.

.

Slika 9

.

.

.

.

.

pozitivan Patric-Faber test ( slika 10 ) pojava boli u regiji prepone, stražnjice i kuka primjenom sile na unutarnjoj strani koljena zahvaćene noge koje je položeno ( flektirano ) kao na slici.

.

.

.

.

.

.

.

.

.

.

.

.

.

Učestalost pojave

Slika 10

.

.

.

OA kuka se pojavljuje u vrlo velikom rasponu životne dobi od ranih 20-tih godina pa sve do 90-tih godina života, no najčešće započinje u 50-tim ili 60-tim. Otprilike je jednaka učestalost pojave između spolova

Povijest bolesti je različita – kod nekih pacijenata bolest napreduje polagano a neki pacijenti imaju duži period ( čak nekoliko godina ) bez tegoba nakon čega slijedi nagli razvoj bolesti praćen intenzivnom boli. Ipak, kod većine pacijenata OA kuka napreduje polako no kod otprilike njih 10% postoji brzi proces propadanja zgloba, u svega nekoliko mjeseci. Nažalost u toku tih par mjeseci ne postoj neka posebna klinička karakteristika koja bi upućivala na ubrzani oblik OA kuka

.

.

.

.

Uzrok

.

.

Simptomi OA kuka se ne preklapaju uvijek sa nalazima RTG-a. Faktori rizika da li će netko razviti artrozu kuka ili ne mogu se podijeliti na :

.

.

  rizik zgloba morfologija ( oblik i građa zgloba ) zgloba kuka i funkcija okolnih mišića

.

.

  osobni rizik – dob, spol, tjelesna težina, genetika, etnična pripadnost i osobne aktivnosti ( rad, vrsta radnog mjesta tj. posla, slobodne aktivnosti )

.

.

Predisponirajući faktori su anatomske abnormalnosti kuka kao što je displazija, određena profesionalna zanimanja, pozitivna obiteljska anamneza, prekomjerna tjelesna težina ( iako je ovaj faktor ipak puno značajniji kod OA koljena ).

No ipak, najvažniji faktor rizika za razvoj artroze kuka je prisutnost abnormalne građe zgloba npr. stanja nakon traume ili kongenitalna dislokacija kuka što uzrokuje abnormalni pritisak na zglob. Kao i kod svih drugih zglobova, osteoartritis zgloba kuka je snažno povezan sa dobi pacijenta ( veća životna dob – veći rizik za razvoj OA kuka ). Prekomjerna tjelesna težina se također dovodi u vezu sa povećanim rizikom za razvoj OA kuka iako je ta poveznica nešto izraženija kod osteoartritisa koljena. Genetski faktori su vrlo važni kod razvoja OA kuka te zauzimaju visokih 60 % vjerojatnosti razvoja artritisa. Također tjelesne aktivnosti ( sport ) s velikim opterećenjima mogu doprinijeti razvoju osteoartritisa zbog očitog prevelikog biomehaničkog stresa na zglob.

.

.

Iako gore navedeni tekst upućuje da je artritis rezultat vlastitih abnormalnosti hrskavice i biomehaničke neusklađenosti s aksijalnim opterećenjem što dovodi do preopterećenja zglobova i naknadnog trošenja hrskavice., ipak se treba naglasiti da postoji još jedan faktor rizika za razvoj OA kuka a to je tzv femoro-acetabularni impingement ( FAI ; sudar femura, natkoljenične kosti i acetabuluma, koštana struktura u zdjelici u koju se uzglobljuje femur ). FAI uzrokuje oštećenje vezivno-hrskavičnog prstena zgloba i dovodi do osteoartritisa. FAI je dinamičan fenomen koji uzrokuje hondrolabralno oštećenje ponavljajućim pokretima kuka, posebno fleksijom i unutarnjom rotacijom. Tijekom opsega pokreta kuka, posebno tijekom fleksije i unutarnje rotacije, ove abnormalnosti stvaraju mehanički udar glave femura od acetabularnu hrskavicu ili vrat femura od susjedni labrum. S vremenom ponavljajući udar dovodi do oštećenja acetabularne hrskavice, a to prati rani osteoartritis.

.

.

.

.

Dijagnosticiranje

.

.

Dijagnoza osteoartritisa kuka može biti postavljena na temelju kombinacije anamneze pacijenta i kliničkog pregleda

.

.

Klinički pregled se sastoji od :

.

.

.

  subjektivni nalaz

.

.

  simptomi koje navodi pacijent ( bol, ukočenost, ograničeno izvođenje aktivnosti svakodnevnog života..itd. )

prijašnje epizode boli u regiji kuka ( kongenitalne naravi ili problemi u dječoj dobi, prijašnje traume )

.

.

objektivni nalaz

.

.

  promatrajnje u stojećem položaju

.

.

  Trendelburgov znak – pacijent stoji na jednoj nozi ( zahvaćenoj nozi tj. nozi sa OA kukom ) dok suprotnu nogu drži odignutom u zraku. Ispitivač postavlja ruke na krila zdjelice i promatra položaj zdjelice. Ako uoči pad zdjelice na strani odignute noge znak je pozitivan (slika 11.). Ovaj znak je najizraženiji pri hodu – u fazi hoda kada se pacijent mora osloniti i preuzeti težinu tijela dešava se propadanje suprotnog kuka zbog slabosti mišića aduktora kuka na istoj strani (slika 12)

.

.

.

.

.

Slika 11

.

.

.

.

.

Slika 12

analiza hoda

.

opservacija posture

.

deformacija

.

mišićna atrofija

.

  razlike u dužini nogu

.

  palpacija osjetljivosti regije kuka, boli i osjetljivosti u regiji velikog trohantera

.

    ispitivanje opsega pokreta ( prvi znakovi OA kuka su ograničena abdukcija i rotacija ). Kako bolest napreduje fleksija, ekstenzija i adukcija postaju sve više ograničene. Pokret je na kraju opsega bolan, a krepitacije prate pokret

.

.

.

.

Najučestaliji kriteriji za postavljanje dijagnoze su oni određeni od strane Američkog udruženja reumatologa :

.

.

Klinički kriteriji A

bol u kuku

  smanjena unutarnja rotacija ispod 15°

sedimentacija ertitrocita 45mm/h ili fleksija kuka 115° ako sedimentacija eritrocita nije dostupna

.

.

Klinički kriteriji B

.

bol u kuku

bol pri unutarnjoj rotaciji

jutarnja ukočenost 1 sata

  životna dob >50 god

Dijagnoza OA kuka također može biti postavljena kombinacijom anamneze i slijedećih kriterija

.

.

.

Klinički kriteriji B

.

bol u kuku

bol pri unutarnjoj rotaciji

jutarnja ukočenost 1 sata

  životna dob >50 god

.

.

.

.

Klinički kriteriji + radiološki kriteriji

bol u kuku

.

.

  dvoje od slijedećeg :

.

.

sedimentacija ertitrocita <20mm/h
osteofiti vidljivi na RTG snimci

.

suženje zglobne pukotine na RTG snimci

.

.

.

.

.

Sutlive i suradnici su objavili popis tzv. varijabli ( faktora ) za otkrivanje osteoartritisa kuka kod pacijenata s jednostranom bolom u kuku. Ako je prisutno 3/5 faktora šanse za razvoj OA kuka su 68 %. A ako je prisutno 4-5/5 onda se rizik za razvoj OA penje i do 91 %. Faktori ( varijable ) se smatraju pozitivnima kada postoji bol ili ograničen opseg pokreta u kliničkim testovima.

.

.

Tih 5 varijabli je :

.

.

.

&fleksija kuka ograničena
&unutarnja rotacija kuka ograničena
&Quadrant test kuka ( poznat i kao Hip Scour test ) prikazan na slici 13. Test je pozitivan ukoliko se javi bol pri primjeni pritiska dok je noga položena u položaj adukcije i fleksije. Test

se ponovi i u položaju abdukcije i fleksije. Test je također pozitivan ukoliko su prisutne krepitacije ili ograničen opseg pokreta

.

.

.

.

.

.

.

Slika 13

.

.

.

&Patrick ili Faberov test – opisan na slici 10. Test je pozitivan ukoliko se pojavi bol pri izvođenju istog

.

.

&test fleksije kuka bol pri izvođenju fleksije kuka

.

.

Dijagnostičke pretrage kojima potvrđujemo prisutnost degenerativnih promjena na zglobu primarno se odnose na RTG snimku, ali kod nekih pacijenata mogu biti potrebne i magnetna rezonanca ili CT . Diferencijalnom dijagnostikom isključujemo prisutnost drugih uzroka boli u regiji kuka ( gore navedeni mogući uzroci ).

.

.

.

.

.

Liječenje

.

Liječenje OA kuka je usmjereno na smirivanje tegoba, a učinkovitim liječenjem se smatra ono koje je primarno usmjereno na prevenciju ( edukacija !! ). Liječenje podrazumijeva kombinaciju farmaceutskih i ne farmaceutskih metoda.

.

.

Liječenje je multifaktorijalno te uključuje gubitak viška tjelesne mase, oralne analgetike, fizikalnu terapiju, ortopedska pomagala ( štap ili podlaktična štaka u suprotnoj, kontralateralnoj ruci ). Intervencijski tretmani mogu uključivati lokalne injekcije tzv. blokade dok operativni zahvati uključuju ugradnju TEPa ( totalna endoproteza ).

.

.

.

.

.

Prevencija

.

.

.

.

.

.

Slika 14

&edukacija pacijenta osobito u primarnoj zdravstvenoj zaštiti

.

&jačanje muskulature

.

&mijenjanje faktora rizika ( višak tjelesne težine, prebacivanje sa aktivnosti viskog intenziteta na aktivnosti nižeg intenziteta, smanjivanje aktivnosti koje provociraju bol )

.

.

.

.

Medikamentozno liječenje

.

.

.

.

.

Slika 15

.

.

.

Lijekovi koji se koriste za olakšavanje bolova

.

.

.

&paracetamol

.

.

&NSAIR ( nestereoidni antireumatici ) – niske doze i kraće učinkovitosti zbog nuspojava ; trebaju se koristiti kod pacijenata koji ne reagiraju dobro na paracetamol. Kod pacijenata sa probavnim smetanjama preporuka je uz neselektivni NSAIR dodatno u terapiju uključiti i gastroprotektivnu zaštitu ili COX-r inhibitor

.

.

&duloxetine djeluje na središnji živčani sustav inhibirajući bol

.

&opioidi ( tramadolnenarkotički opioid ; može se kombinirati zajedno sa paracetamolom ; alternativa ako NSAIR ili COX-2 inhibitor nisu učinkoviti ili su kontraindicirani )

.

.

&unutar zglobne injekcije ( kortikostereoidi – trebaju se uzeti u obzir kada su pacijenti u fazi upale i ne reagiraju na paracetamol i NSAIR ; plazma bogata trombocitima ; injekcije hijaluronskom kiselinom )

.

.

NAPOMENA : Nijedne od navedenih lijekova se nesmije uzimati samostalno bez prethodne konzulatcije sa nadležnim liječnikom !!!!

.

.

Istraživanja su pokazala visoke postotke uspješne rehabilitacije kod pacijenata sa krajnjom fazom OA kuka koji su prošli program vježbi prije ugradnje umjetnog kuka

.

.

.

.

Fizikalna terapija

.

.

Slika 16

Fizikalna terapija zauzima važnu ulogu u rehabilitaciji OA kuka. Vaš fizioterapeut će vam objasniti kakva je vrsta bolesti osteoartritis kukova, kako se liječi, koje su prednosti vježbanja, važnost povećanja dnevne tjelesne aktivnosti, kako zaštititi zglobove kukova prilikom hodanja, sjedenja, stajanja, penjanja po stepenicama, prijenosa opeterećenja kao i ležanja u krevetu. Bol zbog OA kuka može biti smanjena kroz jednostavne, sigurne i učinkovite tjelesne aktivnisti kao što su hodanje, vožnja bicikla ili plivanje. Iako tjelesnom aktivnošću možemo odgoditi razvoj tegoba zbog OA kuka, neki pacijenti izbjegavaju tjelesnu aktivnost zbog boli i ukočenosti koju osjećaju, zbog zbunjenosti koliko treba vježbati i koje vrste vježbi raditi i zbog toga što nemaju predožbu kada će se zbog vježbanja početi osjećati bolje. Fizioterapeut vam može pomoći u provođenju individualiziranog programa vježbanja kojim bi se trebala smanjiti bol i ukočenost.

.

.

.

.

.

Klinički testovi će otkriti bilo koje probleme vezane za OA kukova kao što je gubitak opsega pokreta, mišićna slabost ili problemi sa kordinacijom. Tretman tegoba u okolnoj regiji kao što je lumbalna kralježnica ili u donjim ekstremitetima je također važna stavka u liječenju OA kukova.

.

.

Ciljevi fizikalne terapije

.

.

.

&smanjiti bol – primjenom različitih terapijskih procedura kao što su kratkovalna dijatermija, magnetoterapija, laser..

.

.

&poboljšati opseg pokreta u kukovima i leđima primjenom specifičnih tretmana fizioterapeut će nastojati ” vratiti ” normalan opseg pokreta u kukovima ili drugim regijama kao što je npr. lumbalna kralježnica. To može za početak uključivati pasivne pokrete nježne mobilizacije nogu i kukova kao i istezanja okolne muskulature, a napredovati prema aktivnim vježbama i istezanjima koje pacijent izvodi samostalno

.

.

&poboljšanje snage određene vježbe će imati pozitivan učinak na smirivanje tegoba u bilo kojoj fazi OA kukova. Fizioterapeut će odabrati vrstu vježbi i podučiti pacijenta u izvođenju istih kako bi se postepeno vratila snaga i pokretljivost zgloba. Takve vježbe mogu uključivati težinu vlastitog tijela za otpor ili upotrebu utega, rastezljivih traka ili pak uređaja kao što su trake za trčanje ili stacionarni bicikl za kardiovaskularne vježbe. Program vježbi namjenen tzv. ischiocruralnoj skupini mišića je pokazao u praksi da donosi smanjenje bolova i poboljšanje funkcije kod pacijenata sa OA kuka.

.

.

&ubrzanje procesa rehabilitacije – vaš fizioterapeut je educiran i stručan u odabiru vrsta terapijskih procedura koje će ubrzati proces rehabilitacije i povratak normalnoj

svakodnevnici. U proces rehabilitacije mogu se uključiti i određene sportske aktivnosti koje će pomoći u ostvarivanju tog cilja.

.

.

Terapijske procedure obuhvaćaju

.

.

.

&manualne tehnike kao i pasivnu mobilizaciju za povećanje opsega pokreta

.

.

&vježbe snage

.

.

&vježbe istezanja

.

.

&škola hoda jako bitna komponenta u rehabilitaciji OA kukova jer se ne smije dozvoliti patološki obrazac hoda zato što je to onda stanje iz kojeg će se kasnije razviti tegobe kao što su bol u donjem dijelu leđa, koljenu itd..

.

.

&tehnike za poboljšanje balansa

.

.

&procedure za ublažanje bolova ( elektroterapija, laser..)

.

.

U rehabilitaciji OA kuka važan je multidisciplinarni pristup pored ortopeda i fizioterapeuta trebaju biti uključeni i ostali stručnjaci kao što su nutricionisti i psiholozi. Biopsihološki pristup u liječenju OA kuka ima za posljedicu smanjeni strah, neizvjesnost i predviđanja u vezi trenutnog stanja zglobova kuka kao i razvoja bolesti u budućnosti.

.

.

Kirurško liječenje

.

.

Prije konačne odluke ugradnje proteze uvijek se preporučuje provesti konzervativno liječenje zbog svoje dokazane učinkovitosti u smanjivanju boli kod OA. Ugradnja endoproteze ( tzv. TEP ) je opcija ukoliko pacijent ne reagira na konzervativno liječenje.

Ne postoji međunarodna smjernica za ortopede koja bi služila kod procjene kada je prikladno odabrati operativno liječenje OA kuka. Simptomi OA kuka, funkcionalna ograničenja, dijagnostički nalazi i drugi individualni faktori vezani uz pacijenta utječu na odluku kada je proporučljivo razmisliti o ugradnji endoproteze. Selekcija pacijenata koji su prikladni za

operaciju je preduvijet uspješne ugradnje TEPa. Pacijenti sa prekomjernom tjelesnom težinom, visokom životnom dobi i drugim komorbiditetima ( dodatne pripadajuće bolesti ) su pacijenti koji nisu prikladni za operaciju. Za svaku dekadu iznad 65 godina života postoji 40% veći rizik za razvoj komplikacija. Kod mlađih pacijanata, osobito mlađih od 50 godina treba razmisliti o vijeku trajanja endoproteze s obzirom na veću razinu tjelesne aktivnosti tih pacijenata. Također je važno razmisliti o trenutku ugradnje endoproteze nakon intenziviranja simptoma OA kuka, a koji nisu reagirali na konzervativno liječenje jer istraživanja su pokazala da su oni pacijenti koji su čekali manje od 3 mj na operaciju imali bolji postoperativni oporavak u odnosu na one pacijente koji su čekali 6 mjeseci i duže.

.

.

.

.

.

.

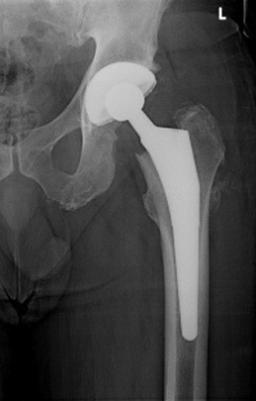
Slika 17

.

.

.

90 % svih operativnih zahvata ugradnje umjetnog kuka tzv. totalne endoproteze ( slika 17. ) je posljedica kranje faze OA kuka ili težih oblika OA kada je zglobna hrskavica propala do te mjere da je došlo do direktnog trenja kost o kost. Riječ je o uspješnoj ortopedskoj proceduri koja donosi smirivanje tegoba u slučajevima konzervativno liječenje ne pokaže ( ne pruži ) rezultat

.

.

.

.

.

Postoperativna rehabilitacija

.

Fizikalna terapija je važan dio postoperativne rehabilitacije koja može trajati nekoliko mjeseci. U tom slučaju fizikalna terapija započinje već u bolesničkoj sobi drugi dan nakon operacije kada će fizioterapeut pomoći pacijentu da ustane iz kreveta te ga podučavati tehniku ispravnog hoda uz pomoć ortopedskih pomagala ( hodalica / štake ) kako bi izbjegao ozljedu operirane regije kuka. Postupak fizikalne terapije će se provoditi svakodnevno u bolnici, a potom i u toplicama gdje se nastavlja rehabilitacija a sve sa već gore opisanim ciljevima ublažavanja boli, povratka opsega pokreta i snage kao i povratka normalnim aktivnostima najbržim mogućim tokom nakon operacije.